Mask_RCNN
Mask_RCNN 是一款基于 Keras 和 TensorFlow 构建的开源深度学习模型,专注于解决图像中的目标检测与实例分割难题。它不仅能精准识别图像中有哪些物体并框出位置(目标检测),还能进一步为每个独立物体生成精细的像素级轮廓掩膜(实例分割),即使多个同类物体重叠也能清晰区分。
该工具特别适合计算机视觉领域的研究人员、算法工程师及希望深入理解底层原理的开发者使用。其核心优势在于采用了特征金字塔网络(FPN)与 ResNet101 主干网络相结合的强大架构,在保持高精度的同时具备良好的扩展性。除了提供在 MS COCO 数据集上预训练的权重以便快速上手,Mask_RCNN 还独具特色地配套了丰富的 Jupyter 可视化教程。这些资源能逐步展示从锚框筛选、边界框修正到掩膜生成的完整流程,帮助用户直观调试模型、分析中间层激活状态及权重分布,极大地降低了学习与复现前沿算法的门槛,是探索实例分割技术的理想起点。
使用场景
某智慧城市交通部门正利用路口监控视频,自动统计早晚高峰期间不同车型的车流量并分析车辆轨迹。
没有 Mask_RCNN 时
- 传统目标检测算法只能输出矩形边框,在车辆密集拥堵时,边框严重重叠导致无法区分具体车辆数量。
- 难以精确提取车辆轮廓,当车辆被路灯杆或绿化带部分遮挡时,系统极易丢失目标或误判车型。
- 人工复核成本极高,工作人员需逐帧查看视频来修正错误的计数数据,效率低下且容易疲劳出错。
- 缺乏像素级的分割掩码,无法进行精细化的车道占用分析或车辆三维尺寸估算。
使用 Mask_RCNN 后
- Mask_RCNN 生成的实例分割掩码能清晰分离紧挨着的车辆,即使在拥堵路段也能实现单车级别的精准计数。
- 凭借强大的特征金字塔网络,Mask_RCNN 能有效识别被部分遮挡的车辆,显著降低漏检率并提升车型分类准确度。
- 自动化流程完全取代人工复核,系统可实时输出带轮廓标注的视频流,将数据处理效率提升数十倍。
- 输出的高精度像素级掩码支持深度分析,如计算车辆实际投影面积以辅助判断违章变道或异常停车行为。
Mask_RCNN 通过将目标检测与实例分割完美结合,解决了复杂交通场景下“数不清、看不准”的核心难题,让视觉数据分析从粗糙的框选迈向了精细化的像素级理解。
运行环境要求
- Linux
- Windows
需要 NVIDIA GPU(支持多 GPU 训练),具体型号和显存未说明,需匹配 TensorFlow 1.3 的 CUDA 版本
未说明

快速开始
用于目标检测与分割的 Mask R-CNN
这是在 Python 3、Keras 和 TensorFlow 上实现的 Mask R-CNN。该模型为图像中每个对象实例生成边界框和分割掩码。它基于特征金字塔网络(FPN)和 ResNet101 主干网络。

该仓库包含:
- 基于 FPN 和 ResNet101 构建的 Mask R-CNN 源代码。
- MS COCO 数据集的训练代码。
- MS COCO 数据集的预训练权重。
- Jupyter 笔记本,用于可视化检测流程的每一步。
- 用于多 GPU 训练的 ParallelModel 类。
- 在 MS COCO 数据集上的评估指标(AP)。
- 自定义数据集训练示例。
代码经过详细注释,并设计得易于扩展。如果您在研究中使用了此代码,请考虑引用本仓库(下方提供 BibTeX 格式)。如果您从事 3D 视觉相关工作,我们最近发布的 Matterport3D 数据集也可能对您有所帮助。 该数据集由我们的客户采集的 3D 重建空间构成,这些客户同意将其公开供学术研究使用。您可以在 这里 查看更多示例。
快速入门
demo.ipynb 是最简单的入门方式。它展示了如何使用在 MS COCO 数据集上预训练的模型来分割您自己的图像中的物体。 其中包含了在任意图像上运行目标检测和实例分割的代码。
train_shapes.ipynb 展示了如何在自定义数据集上训练 Mask R-CNN。该笔记本引入了一个玩具数据集(Shapes),以演示如何在新数据集上进行训练。
inspect_data.ipynb。该笔记本可视化了用于准备训练数据的不同预处理步骤。
inspect_model.ipynb 该笔记本深入探讨了检测和分割物体所执行的各个步骤,并提供了整个流程中每一步的可视化结果。
inspect_weights.ipynb 该笔记本检查了训练好的模型的权重,寻找异常和不寻常的模式。
分步检测
为了便于调试和理解模型,我们提供了 3 个笔记本 (inspect_data.ipynb、inspect_model.ipynb、 inspect_weights.ipynb),它们提供了大量可视化内容,并允许逐步运行模型,以便在每个阶段检查输出。以下是一些示例:
1. 锚点排序与过滤
可视化了第一阶段区域建议网络的每一步操作,并展示了正负锚点以及锚框的精炼过程。

2. 边界框精炼
这是一个第二阶段最终检测框(虚线)及其应用的精炼结果(实线)的示例。

3. 掩码生成
生成的掩码示例。随后这些掩码会被缩放并放置到图像的正确位置。

4. 层激活
通常检查不同层的激活情况有助于发现潜在问题(如全零或随机噪声)。

5. 权重直方图
另一个有用的调试工具是检查权重的直方图。这些内容包含在 inspect_weights.ipynb 笔记本中。

6. 日志记录到 TensorBoard
TensorBoard 是另一个优秀的调试和可视化工具。该模型已配置为在每个 epoch 结束时记录损失并保存权重。

6. 将各个部分组合成最终结果

在 MS COCO 数据集上训练
我们提供了 MS COCO 数据集的预训练权重,以便您更轻松地开始。您可以将这些权重作为起点,训练您自己的网络变体。
训练和评估代码位于 samples/coco/coco.py 中。您可以在 Jupyter 笔记本中导入该模块(请参阅提供的笔记本示例),也可以直接通过命令行运行,如下所示:
# 从预训练的 COCO 权重开始训练新模型
python3 samples/coco/coco.py train --dataset=/path/to/coco/ --model=coco
# 从 ImageNet 权重开始训练新模型
python3 samples/coco/coco.py train --dataset=/path/to/coco/ --model=imagenet
# 继续训练之前已经训练过的模型
python3 samples/coco/coco.py train --dataset=/path/to/coco/ --model=/path/to/weights.h5
# 继续训练上次训练的模型。这将会在模型目录中找到最后训练的权重。
python3 samples/coco/coco.py train --dataset=/path/to/coco/ --model=last
您还可以使用以下命令运行 COCO 评估代码:
# 对上次训练的模型进行 COCO 评估
python3 samples/coco/coco.py evaluate --dataset=/path/to/coco/ --model=last
训练计划、学习率和其他参数应在 samples/coco/coco.py 中设置。
在自定义数据集上训练
首先阅读这篇关于气球颜色泼溅示例的博客文章《色彩的绽放:使用 Mask R-CNN 和 TensorFlow 进行实例分割》。它涵盖了从图像标注到训练,再到将结果应用于示例应用程序的完整流程。 简而言之,要在您的自定义数据集上训练模型,您需要扩展两个类:
Config
该类包含默认配置。请继承它并修改您需要更改的属性。
Dataset
该类提供了一种一致的方式来处理任何数据集。
它允许您使用新的数据集进行训练,而无需更改模型的代码。此外,它还支持同时加载多个数据集,这在您想要检测的对象并不都存在于一个数据集中时非常有用。
请参阅 samples/shapes/train_shapes.ipynb、samples/coco/coco.py、samples/balloon/balloon.py 和 samples/nucleus/nucleus.py 中的示例。
与官方论文的区别
本实现大部分遵循 Mask R-CNN 论文,但在某些地方为了代码的简洁性和通用性,我们做了一些调整。以下是我们已知的一些差异。如果您发现其他差异,请随时告知我们。
图像缩放: 为了支持每批次训练多张图像,我们将所有图像缩放为相同的尺寸。例如,在 MS COCO 数据集上使用 1024x1024 像素。我们会保持宽高比,因此如果图像不是正方形,我们会用零填充。而在论文中,缩放是使最短边为 800 像素,最长边则裁剪至 1000 像素。
边界框: 有些数据集提供边界框,而有些仅提供掩码。为了支持在多个数据集上进行训练,我们选择忽略数据集自带的边界框,转而实时生成它们。我们选取能够包围掩码所有像素的最小矩形作为边界框。这不仅简化了实现,还便于应用一些对边界框较难处理的数据增强技术,比如图像旋转。
为了验证这一方法,我们将其计算出的边界框与 COCO 数据集提供的边界框进行了对比。结果显示,约 2% 的边界框相差 1 像素或以上,约 0.05% 的边界框相差 5 像素或以上,而仅有 0.01% 的边界框相差 10 像素或以上。
学习率: 论文中使用的学习率为 0.02,但我们发现这个值过高,容易导致权重爆炸,尤其是在小批量的情况下。这可能与 Caffe 和 TensorFlow 在梯度计算方式上的差异有关(即跨批次和 GPU 是求和还是取平均)。或者,官方模型可能使用了梯度裁剪来避免这个问题。虽然我们也使用梯度裁剪,但并未设置得过于激进。我们发现较小的学习率反而收敛得更快,因此我们选择了较低的学习率。
引用
请使用以下 BibTeX 格式引用本仓库:
@misc{matterport_maskrcnn_2017,
title={Mask R-CNN for object detection and instance segmentation on Keras and TensorFlow},
author={Waleed Abdulla},
year={2017},
publisher={Github},
journal={GitHub repository},
howpublished={\url{https://github.com/matterport/Mask_RCNN}},
}
贡献
欢迎为本仓库做出贡献。您可以贡献的内容包括:
- 性能优化,例如将部分 Python 代码重写为 TensorFlow 或 Cython 实现。
- 在其他数据集上进行训练。
- 提升模型精度。
- 可视化工具和示例。
您也可以 加入我们的团队,帮助我们开发更多类似项目。
环境要求
Python 3.4、TensorFlow 1.3、Keras 2.0.8,以及 requirements.txt 中列出的其他常用包。
MS COCO 特别要求:
若要在 MS COCO 数据集上进行训练或测试,您还需要:
- pycocotools(安装说明见下文)
- MS COCO 数据集
- 下载 5K 的 minival 和 35K 的 validation-minus-minival 子集。更多详情请参阅原始的 Faster R-CNN 实现。
如果您使用 Docker,代码已在 此 Docker 容器 上验证过可以正常运行。
安装步骤
克隆本仓库
安装依赖项
pip3 install -r requirements.txt在仓库根目录下运行安装命令
python3 setup.py install从 发布页面 下载预训练的 COCO 权重文件
mask_rcnn_coco.h5。(可选)若要在 MS COCO 数据集上进行训练或测试,可以从以下仓库之一安装
pycocotools。这些仓库是原版 pycocotools 的分支,针对 Python 3 和 Windows 进行了修复(官方仓库似乎已不再维护)。- Linux 版本:https://github.com/waleedka/coco
- Windows 版本:https://github.com/philferriere/cocoapi。您需要确保系统路径中包含 Visual C++ 2015 构建工具(详情请参阅相关仓库)。
使用本模型的项目
如果您将本模型扩展到其他数据集,或基于它构建相关项目,我们非常期待您的反馈。
4K 视频演示 by Karol Majek。
图片转 OSM:通过添加棒球、足球、网球、橄榄球和篮球场来改进 OpenStreetMap。

色彩点缀:一篇博客文章,详细介绍了如何从头训练该模型,并利用它实现色彩点缀效果。

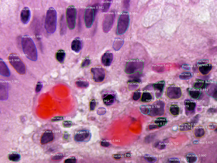
显微镜图像中的细胞核分割。专为 2018 年数据科学碗竞赛 开发。
代码位于 samples/nucleus 目录中。

手术机器人检测与分割 by the NUS 控制与机电一体化实验室。

利用航空 LiDAR 数据重建三维建筑
由 Esri 与 Nvidia、迈阿密戴德县合作完成的概念验证项目。该项目由 Dmitry Kudinov、Daniel Hedges 和 Omar Maher 共同撰写并提供了代码。

Usiigaci:相位差显微镜下的无标记细胞追踪
来自日本的一项研究项目,旨在自动跟踪微流控平台中的细胞。论文尚未发表,但源代码已公开。

极高分辨率航空影像中的北极冰楔多边形特征分析
一项研究北极地区退化过程与气候变化之间复杂关系的项目。作者包括 Weixing Zhang、Chandi Witharana、Anna Liljedahl 和 Mikhail Kanevskiy。

Mask-RCNN Shiny
HU Shiyu 的计算机视觉课程项目,用于对人物图像应用色彩突出效果,取得了很好的效果。

地图绘制挑战:将卫星影像转换为地图,供人道主义组织使用。

用于从地理空间影像生成矢量掩膜的 GRASS GIS 插件。基于 Ondřej Pešek 的硕士论文。

版本历史
v2.12018/03/19v2.02017/11/26v1.02017/10/23常见问题
相似工具推荐
openclaw
OpenClaw 是一款专为个人打造的本地化 AI 助手,旨在让你在自己的设备上拥有完全可控的智能伙伴。它打破了传统 AI 助手局限于特定网页或应用的束缚,能够直接接入你日常使用的各类通讯渠道,包括微信、WhatsApp、Telegram、Discord、iMessage 等数十种平台。无论你在哪个聊天软件中发送消息,OpenClaw 都能即时响应,甚至支持在 macOS、iOS 和 Android 设备上进行语音交互,并提供实时的画布渲染功能供你操控。 这款工具主要解决了用户对数据隐私、响应速度以及“始终在线”体验的需求。通过将 AI 部署在本地,用户无需依赖云端服务即可享受快速、私密的智能辅助,真正实现了“你的数据,你做主”。其独特的技术亮点在于强大的网关架构,将控制平面与核心助手分离,确保跨平台通信的流畅性与扩展性。 OpenClaw 非常适合希望构建个性化工作流的技术爱好者、开发者,以及注重隐私保护且不愿被单一生态绑定的普通用户。只要具备基础的终端操作能力(支持 macOS、Linux 及 Windows WSL2),即可通过简单的命令行引导完成部署。如果你渴望拥有一个懂你
stable-diffusion-webui
stable-diffusion-webui 是一个基于 Gradio 构建的网页版操作界面,旨在让用户能够轻松地在本地运行和使用强大的 Stable Diffusion 图像生成模型。它解决了原始模型依赖命令行、操作门槛高且功能分散的痛点,将复杂的 AI 绘图流程整合进一个直观易用的图形化平台。 无论是希望快速上手的普通创作者、需要精细控制画面细节的设计师,还是想要深入探索模型潜力的开发者与研究人员,都能从中获益。其核心亮点在于极高的功能丰富度:不仅支持文生图、图生图、局部重绘(Inpainting)和外绘(Outpainting)等基础模式,还独创了注意力机制调整、提示词矩阵、负向提示词以及“高清修复”等高级功能。此外,它内置了 GFPGAN 和 CodeFormer 等人脸修复工具,支持多种神经网络放大算法,并允许用户通过插件系统无限扩展能力。即使是显存有限的设备,stable-diffusion-webui 也提供了相应的优化选项,让高质量的 AI 艺术创作变得触手可及。
everything-claude-code
everything-claude-code 是一套专为 AI 编程助手(如 Claude Code、Codex、Cursor 等)打造的高性能优化系统。它不仅仅是一组配置文件,而是一个经过长期实战打磨的完整框架,旨在解决 AI 代理在实际开发中面临的效率低下、记忆丢失、安全隐患及缺乏持续学习能力等核心痛点。 通过引入技能模块化、直觉增强、记忆持久化机制以及内置的安全扫描功能,everything-claude-code 能显著提升 AI 在复杂任务中的表现,帮助开发者构建更稳定、更智能的生产级 AI 代理。其独特的“研究优先”开发理念和针对 Token 消耗的优化策略,使得模型响应更快、成本更低,同时有效防御潜在的攻击向量。 这套工具特别适合软件开发者、AI 研究人员以及希望深度定制 AI 工作流的技术团队使用。无论您是在构建大型代码库,还是需要 AI 协助进行安全审计与自动化测试,everything-claude-code 都能提供强大的底层支持。作为一个曾荣获 Anthropic 黑客大奖的开源项目,它融合了多语言支持与丰富的实战钩子(hooks),让 AI 真正成长为懂上
ComfyUI
ComfyUI 是一款功能强大且高度模块化的视觉 AI 引擎,专为设计和执行复杂的 Stable Diffusion 图像生成流程而打造。它摒弃了传统的代码编写模式,采用直观的节点式流程图界面,让用户通过连接不同的功能模块即可构建个性化的生成管线。 这一设计巧妙解决了高级 AI 绘图工作流配置复杂、灵活性不足的痛点。用户无需具备编程背景,也能自由组合模型、调整参数并实时预览效果,轻松实现从基础文生图到多步骤高清修复等各类复杂任务。ComfyUI 拥有极佳的兼容性,不仅支持 Windows、macOS 和 Linux 全平台,还广泛适配 NVIDIA、AMD、Intel 及苹果 Silicon 等多种硬件架构,并率先支持 SDXL、Flux、SD3 等前沿模型。 无论是希望深入探索算法潜力的研究人员和开发者,还是追求极致创作自由度的设计师与资深 AI 绘画爱好者,ComfyUI 都能提供强大的支持。其独特的模块化架构允许社区不断扩展新功能,使其成为当前最灵活、生态最丰富的开源扩散模型工具之一,帮助用户将创意高效转化为现实。
gemini-cli
gemini-cli 是一款由谷歌推出的开源 AI 命令行工具,它将强大的 Gemini 大模型能力直接集成到用户的终端环境中。对于习惯在命令行工作的开发者而言,它提供了一条从输入提示词到获取模型响应的最短路径,无需切换窗口即可享受智能辅助。 这款工具主要解决了开发过程中频繁上下文切换的痛点,让用户能在熟悉的终端界面内直接完成代码理解、生成、调试以及自动化运维任务。无论是查询大型代码库、根据草图生成应用,还是执行复杂的 Git 操作,gemini-cli 都能通过自然语言指令高效处理。 它特别适合广大软件工程师、DevOps 人员及技术研究人员使用。其核心亮点包括支持高达 100 万 token 的超长上下文窗口,具备出色的逻辑推理能力;内置 Google 搜索、文件操作及 Shell 命令执行等实用工具;更独特的是,它支持 MCP(模型上下文协议),允许用户灵活扩展自定义集成,连接如图像生成等外部能力。此外,个人谷歌账号即可享受免费的额度支持,且项目基于 Apache 2.0 协议完全开源,是提升终端工作效率的理想助手。
markitdown
MarkItDown 是一款由微软 AutoGen 团队打造的轻量级 Python 工具,专为将各类文件高效转换为 Markdown 格式而设计。它支持 PDF、Word、Excel、PPT、图片(含 OCR)、音频(含语音转录)、HTML 乃至 YouTube 链接等多种格式的解析,能够精准提取文档中的标题、列表、表格和链接等关键结构信息。 在人工智能应用日益普及的今天,大语言模型(LLM)虽擅长处理文本,却难以直接读取复杂的二进制办公文档。MarkItDown 恰好解决了这一痛点,它将非结构化或半结构化的文件转化为模型“原生理解”且 Token 效率极高的 Markdown 格式,成为连接本地文件与 AI 分析 pipeline 的理想桥梁。此外,它还提供了 MCP(模型上下文协议)服务器,可无缝集成到 Claude Desktop 等 LLM 应用中。 这款工具特别适合开发者、数据科学家及 AI 研究人员使用,尤其是那些需要构建文档检索增强生成(RAG)系统、进行批量文本分析或希望让 AI 助手直接“阅读”本地文件的用户。虽然生成的内容也具备一定可读性,但其核心优势在于为机器
