brain-segmentation-pytorch
brain-segmentation-pytorch 是一个基于 PyTorch 框架实现的开源深度学习工具,专门用于脑部磁共振成像(MRI)中 FLAIR 序列异常区域的自动分割。它核心解决了医疗影像分析中难以快速、精准定位低级别胶质瘤等病变区域的痛点,将原本依赖人工标注的繁琐过程转化为高效的自动化流程。
该工具非常适合医学影像研究人员、AI 开发者以及生物医学工程领域的学生使用。无论是希望复现前沿算法的研究者,还是需要在自有数据集上进行模型微调或推理的工程师,都能从中获益。其技术亮点在于完整复现了发表于《Computers in Biology and Medicine》期刊的 U-Net 架构,并创新性地加入了批归一化(Batch Normalization)层以提升训练稳定性。项目不仅提供了经过预训练的高精度模型权重(平均重叠度指标 DSC 达 91%),支持通过 PyTorch Hub 一键加载,还配备了完善的 Docker 环境配置与推理脚本,极大地降低了从理论到实践的应用门槛,助力用户轻松开展脑部病灶的智能分析工作。
使用场景
某三甲医院神经肿瘤科研团队正急需对数百例低级别胶质瘤患者的 FLAIR 序列 MRI 影像进行病灶分割,以提取形状特征辅助基因组亚型分析。
没有 brain-segmentation-pytorch 时
- 放射科医生需手动逐层勾画病灶轮廓,处理单例患者耗时数小时,且极易因疲劳产生主观误差。
- 团队若尝试自研算法,需从零搭建 U-Net 架构并复现论文中的批归一化细节,开发周期长达数周。
- 缺乏经过权威验证的预训练权重,模型在跨机构数据上泛化能力差,难以达到临床可用的精度标准。
- 环境配置复杂,MATLAB 或旧版 Keras 代码迁移至现代 PyTorch 流程困难,阻碍了与其他深度学习工具的集成。
使用 brain-segmentation-pytorch 后
- 利用提供的预训练 U-Net 模型,通过 PyTorch Hub 一行代码即可加载,将单例分割时间从小时级缩短至秒级。
- 直接复用基于 TCGA-LGG 数据集训练 weights,无需重新训练即可获得平均 91% DSC 的高精度分割结果。
- 内置 Docker 容器解决了依赖冲突问题,研究人员可立即在本地或服务器运行推理脚本,快速批量处理数百张影像。
- 开源的 Python 实现完美对接现有 PyTorch 生态,方便团队在此基础上进行微调(Fine-tuning)以适应特定设备数据。
brain-segmentation-pytorch 将繁琐的人工勾画转化为自动化的高精度流程,让科研人员能专注于病灶特征与基因关联的核心发现。
运行环境要求
- Linux
需要 NVIDIA GPU (用于 Docker 运行),显存建议 8GB+ (Docker 命令指定 --shm-size 8G),CUDA 版本未说明
未说明 (Docker 共享内存建议 8GB)

快速开始
用于脑部分割的 U-Net
基于深度学习分割算法的 PyTorch 实现的 U-Net,用于脑部 MRI 中 FLAIR 异常区域的分割。该算法曾应用于论文《低级别胶质瘤基因组亚型与深度学习算法自动提取的形状特征之间的关联》(https://doi.org/10.1016/j.compbiomed.2019.05.002)。
本仓库是对官方 MATLAB/Keras 实现的全 Python 移植版本,原项目地址为 brain-segmentation。
我们提供了训练好的模型权重,可用于推理或在其他数据集上进行微调。如果您使用了本仓库中的代码或权重,请考虑引用以下文献:
@article{buda2019association,
title={低级别胶质瘤基因组亚型与深度学习算法自动提取的形状特征之间的关联},
author={Buda, Mateusz 和 Saha, Ashirbani 和 Mazurowski, Maciej A},
journal={生物医学计算},
volume={109},
year={2019},
publisher={爱思唯尔},
doi={10.1016/j.compbiomed.2019.05.002}
}
Docker
docker build -t brainseg .
nvidia-docker run --rm --shm-size 8G -it -v `pwd`:/workspace brainseg
PyTorch Hub
使用 PyTorch Hub 加载模型:pytorch.org/hub/mateuszbuda_brain-segmentation-pytorch_unet
import torch
model = torch.hub.load('mateuszbuda/brain-segmentation-pytorch', 'unet',
in_channels=3, out_channels=1, init_features=32, pretrained=True)
数据集

用于开发和评估的数据集已在 Kaggle 上公开:kaggle.com/mateuszbuda/lgg-mri-segmentation。该数据集包含来自 TCIA LGG 收藏 的 MR 图像,并附有杜克大学认证放射科医师标注的分割掩码。
模型
本仓库实现的分割模型是 U-Net,其架构如《低级别胶质瘤基因组亚型与深度学习算法自动提取的形状特征之间的关联》所述,并增加了批归一化层。

结果
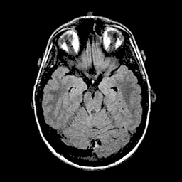
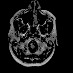
![]() |
![]() |
![]() |
|---|---|---|
| DSC 94% | DSC 91% | DSC 89% |
来自三家不同机构的验证病例的定性结果,DSC 分别为 94%、91% 和 89%。绿色轮廓表示真实标签,红色则为模型预测结果。图像显示的是预处理后的 FLAIR 模态。

随机选取的 10 个验证样本的 DSC 分布。红色竖线代表平均 DSC(91%),绿色竖线代表中位数 DSC(92%)。由于模型选择基于这些验证样本的平均 DSC,因此结果可能存在偏差。
推理
- 从 Kaggle 下载并解压数据集:kaggle.com/mateuszbuda/lgg-mri-segmentation。
- 运行 Docker 容器。
- 执行
inference.py脚本,指定权重和图像的路径。针对 256x256 尺寸输入图像的训练权重已提供在./weights/unet.pt文件中。更多选项及帮助可运行:python3 inference.py --help。
训练
- 从 Kaggle 下载并解压数据集:kaggle.com/mateuszbuda/lgg-mri-segmentation。
- 运行 Docker 容器。
- 执行
train.py脚本。默认图像路径为./kaggle_3m。更多选项及帮助可运行:python3 train.py --help。
此外,您也可以使用随数据集一同发布的 Kaggle Notebook 进行训练:kaggle.com/mateuszbuda/brain-segmentation-pytorch。由于 Kaggle Notebook 的内存限制,输入图像尺寸为 224x224,而非 256x256。
若要在自定义数据集上运行此代码,可能需要对 dataset.py 进行调整。如有需要帮助,请随时提交问题。
TensorRT 推理
如果您希望使用 TensorRT 运行时来加速模型推理,NVIDIA 官方博客有一篇相关文章可供参考:使用 TensorRT 加速深度学习推理。
版本历史
v1.02019/06/12常见问题
相似工具推荐
openclaw
OpenClaw 是一款专为个人打造的本地化 AI 助手,旨在让你在自己的设备上拥有完全可控的智能伙伴。它打破了传统 AI 助手局限于特定网页或应用的束缚,能够直接接入你日常使用的各类通讯渠道,包括微信、WhatsApp、Telegram、Discord、iMessage 等数十种平台。无论你在哪个聊天软件中发送消息,OpenClaw 都能即时响应,甚至支持在 macOS、iOS 和 Android 设备上进行语音交互,并提供实时的画布渲染功能供你操控。 这款工具主要解决了用户对数据隐私、响应速度以及“始终在线”体验的需求。通过将 AI 部署在本地,用户无需依赖云端服务即可享受快速、私密的智能辅助,真正实现了“你的数据,你做主”。其独特的技术亮点在于强大的网关架构,将控制平面与核心助手分离,确保跨平台通信的流畅性与扩展性。 OpenClaw 非常适合希望构建个性化工作流的技术爱好者、开发者,以及注重隐私保护且不愿被单一生态绑定的普通用户。只要具备基础的终端操作能力(支持 macOS、Linux 及 Windows WSL2),即可通过简单的命令行引导完成部署。如果你渴望拥有一个懂你
stable-diffusion-webui
stable-diffusion-webui 是一个基于 Gradio 构建的网页版操作界面,旨在让用户能够轻松地在本地运行和使用强大的 Stable Diffusion 图像生成模型。它解决了原始模型依赖命令行、操作门槛高且功能分散的痛点,将复杂的 AI 绘图流程整合进一个直观易用的图形化平台。 无论是希望快速上手的普通创作者、需要精细控制画面细节的设计师,还是想要深入探索模型潜力的开发者与研究人员,都能从中获益。其核心亮点在于极高的功能丰富度:不仅支持文生图、图生图、局部重绘(Inpainting)和外绘(Outpainting)等基础模式,还独创了注意力机制调整、提示词矩阵、负向提示词以及“高清修复”等高级功能。此外,它内置了 GFPGAN 和 CodeFormer 等人脸修复工具,支持多种神经网络放大算法,并允许用户通过插件系统无限扩展能力。即使是显存有限的设备,stable-diffusion-webui 也提供了相应的优化选项,让高质量的 AI 艺术创作变得触手可及。
ComfyUI
ComfyUI 是一款功能强大且高度模块化的视觉 AI 引擎,专为设计和执行复杂的 Stable Diffusion 图像生成流程而打造。它摒弃了传统的代码编写模式,采用直观的节点式流程图界面,让用户通过连接不同的功能模块即可构建个性化的生成管线。 这一设计巧妙解决了高级 AI 绘图工作流配置复杂、灵活性不足的痛点。用户无需具备编程背景,也能自由组合模型、调整参数并实时预览效果,轻松实现从基础文生图到多步骤高清修复等各类复杂任务。ComfyUI 拥有极佳的兼容性,不仅支持 Windows、macOS 和 Linux 全平台,还广泛适配 NVIDIA、AMD、Intel 及苹果 Silicon 等多种硬件架构,并率先支持 SDXL、Flux、SD3 等前沿模型。 无论是希望深入探索算法潜力的研究人员和开发者,还是追求极致创作自由度的设计师与资深 AI 绘画爱好者,ComfyUI 都能提供强大的支持。其独特的模块化架构允许社区不断扩展新功能,使其成为当前最灵活、生态最丰富的开源扩散模型工具之一,帮助用户将创意高效转化为现实。
gemini-cli
gemini-cli 是一款由谷歌推出的开源 AI 命令行工具,它将强大的 Gemini 大模型能力直接集成到用户的终端环境中。对于习惯在命令行工作的开发者而言,它提供了一条从输入提示词到获取模型响应的最短路径,无需切换窗口即可享受智能辅助。 这款工具主要解决了开发过程中频繁上下文切换的痛点,让用户能在熟悉的终端界面内直接完成代码理解、生成、调试以及自动化运维任务。无论是查询大型代码库、根据草图生成应用,还是执行复杂的 Git 操作,gemini-cli 都能通过自然语言指令高效处理。 它特别适合广大软件工程师、DevOps 人员及技术研究人员使用。其核心亮点包括支持高达 100 万 token 的超长上下文窗口,具备出色的逻辑推理能力;内置 Google 搜索、文件操作及 Shell 命令执行等实用工具;更独特的是,它支持 MCP(模型上下文协议),允许用户灵活扩展自定义集成,连接如图像生成等外部能力。此外,个人谷歌账号即可享受免费的额度支持,且项目基于 Apache 2.0 协议完全开源,是提升终端工作效率的理想助手。
LLMs-from-scratch
LLMs-from-scratch 是一个基于 PyTorch 的开源教育项目,旨在引导用户从零开始一步步构建一个类似 ChatGPT 的大型语言模型(LLM)。它不仅是同名技术著作的官方代码库,更提供了一套完整的实践方案,涵盖模型开发、预训练及微调的全过程。 该项目主要解决了大模型领域“黑盒化”的学习痛点。许多开发者虽能调用现成模型,却难以深入理解其内部架构与训练机制。通过亲手编写每一行核心代码,用户能够透彻掌握 Transformer 架构、注意力机制等关键原理,从而真正理解大模型是如何“思考”的。此外,项目还包含了加载大型预训练权重进行微调的代码,帮助用户将理论知识延伸至实际应用。 LLMs-from-scratch 特别适合希望深入底层原理的 AI 开发者、研究人员以及计算机专业的学生。对于不满足于仅使用 API,而是渴望探究模型构建细节的技术人员而言,这是极佳的学习资源。其独特的技术亮点在于“循序渐进”的教学设计:将复杂的系统工程拆解为清晰的步骤,配合详细的图表与示例,让构建一个虽小但功能完备的大模型变得触手可及。无论你是想夯实理论基础,还是为未来研发更大规模的模型做准备
Deep-Live-Cam
Deep-Live-Cam 是一款专注于实时换脸与视频生成的开源工具,用户仅需一张静态照片,即可通过“一键操作”实现摄像头画面的即时变脸或制作深度伪造视频。它有效解决了传统换脸技术流程繁琐、对硬件配置要求极高以及难以实时预览的痛点,让高质量的数字内容创作变得触手可及。 这款工具不仅适合开发者和技术研究人员探索算法边界,更因其极简的操作逻辑(仅需三步:选脸、选摄像头、启动),广泛适用于普通用户、内容创作者、设计师及直播主播。无论是为了动画角色定制、服装展示模特替换,还是制作趣味短视频和直播互动,Deep-Live-Cam 都能提供流畅的支持。 其核心技术亮点在于强大的实时处理能力,支持口型遮罩(Mouth Mask)以保留使用者原始的嘴部动作,确保表情自然精准;同时具备“人脸映射”功能,可同时对画面中的多个主体应用不同面孔。此外,项目内置了严格的内容安全过滤机制,自动拦截涉及裸露、暴力等不当素材,并倡导用户在获得授权及明确标注的前提下合规使用,体现了技术发展与伦理责任的平衡。


